top of page

Dental Fillings

45 min
٣٠٠ جنيه مصري

Service Description

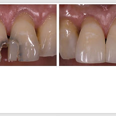
A composite filling is a tooth-colored plastic and glass mixture used to restore decayed teeth. Composites are also used for cosmetic improvements of the smile by changing the color of the teeth or reshaping disfigured teeth.


Contact Details

dr_bicho@hotmail.com


  • Grey Facebook Icon
  • Grey Twitter Icon
  • Grey Instagram Icon

© 2023 by We Smile. Proudly created with Wix.com

Success! Message received.

bottom of page